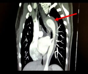
Uma mulher de 45 anos rompeu a aorta enquanto tinha relações sexuais com seu marido. O caso foi relatado da revista científica...
Saúde
A suspensão do cofinanciamento estadual à saúde de Campos, decisão unilateral do Governo do Estado, foi tema central de nova...
Inaugurado em 9 de julho de 2024, o Centro Municipal de Imunização e Testes de Triagem Neonatal completa seu primeiro...
O prefeito de Campos dos Goytacazes, Wladimir Garotinho, anunciou nesta quarta-feira (09) que embarcou para Brasília com o objetivo de...
O prefeito Wladimir Garotinho participou, nessa terça-feira (8), da reunião ordinária do Conselho Municipal de Saúde para apresentar a crítica...
O cancelamento do cofinanciamento do Estado do Rio de Janeiro à Saúde de Campos, uma decisão unilateral do Governo do...
Diante da crise causada pela falta de repasses do governo estadual para a saúde e do risco iminente de milhares...
O Hospital Ferreira Machado (HFM) encerrou o mês de junho com duas importantes captações de órgãos. Na última semana, dois...
Começa nesta terça-feira, dia 1º de julho, a substituição da dose de reforço da vacina meningocócica C (conjugada) pela vacina...
A Secretaria Municipal de Saúde (SMS), por meio da Subsecretaria de Vigilância em Saúde, orienta a população para que fique...