Uma mulher de 45 anos rompeu a aorta enquanto tinha relações sexuais com seu marido. O caso foi relatado da revista científica “American Journal of Case Reports”.
De acordo com o relato do médico na publicação, a mulher chegou à emergência com queixas de dores toráxicas após o sexo. Ela contou que estava com as pernas apoiadas no peito enquanto transava com o marido e, ao atingir o orgasmo, sentiu um estalo, seguido de uma dor que irradiava para as costas.
“A dor era intensa e se assemelhava a facadas, associada à falta de ar e náuseas”, detalha o relato.
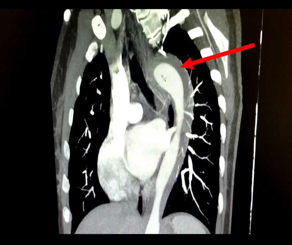
Segundo os médicos que atenderam o caso, a paciente tinha hipertensão não tratada há um ano e tabagismo há 17 anos. Para entender o que aconteceu, ela passou por exames de imagem que indicaram hematoma intramural na aorta.
🫀O hematoma intramural na aorta é uma condição grave que envolve o sangramento na parede da aorta. O quadro é considerado uma Síndrome Aórtica Aguda (SAA) e, se não tratado adequadamente, pode evoluir para aneurisma ou ruptura aórtica total, com risco de vida ao paciente.
A síndrome tem alta taxa de mortalidade, aumentando cerca de 1% a cada hora sem tratamento. Estima-se que até 22% dos casos não sejam diagnosticados até o momento da morte.
Os médicos explicam que a atividade sexual é considerada um esforço físico moderado, mas que pode alcançar níveis de exercício quase máximos. No entanto, ainda assim, a associação da atividade com aumento do risco de SAA e morte súbita é rara.
“Nosso caso é incomum por ser uma mulher, em relação sexual consensual com o marido, mas com fatores de risco como hipertensão não tratada e tabagismo crônico”, avaliam os médicos.
O tratamento para a condição pode ser cirúrgico ou clínico, a depender da localização da lesão.
No caso relatado, a paciente foi medicada e também encaminhada para uma cirurgia cardiotorácica. A mulher teve alta após três dias.
G1
Outras Noticias
Após morte encefálica, jovem de 21 anos tem órgãos doados em Campos; HFM realiza terceira captação do ano
Rede de Urgência e Emergência de Campos mantém funcionamento no feriado prolongado
Profissionais do HFM passam por capacitação em reanimação cardiopulmonar